REQUEST APPOINTMENT
Hablamos Español
562-902-9898
Home
About
Our Practice
Sergio Ocampo, DDS
Smile Gallery
Our Technology
Surgical Instructions
Our Blog
Services
General Dentistry
Family Dentistry
Cosmetic Dentistry
Dental Implants
Dental Crowns
Dental Fillings
Root Canal
Exam & Cleaning
Teeth Whitening
Night Guards
TMJ Treatment
Sedation Dentistry
Wisdom Teeth Extraction
Oral & Maxillofacial Surgery
Emergency Dentistry
Special Offers
Reviews
New Patients
Contact
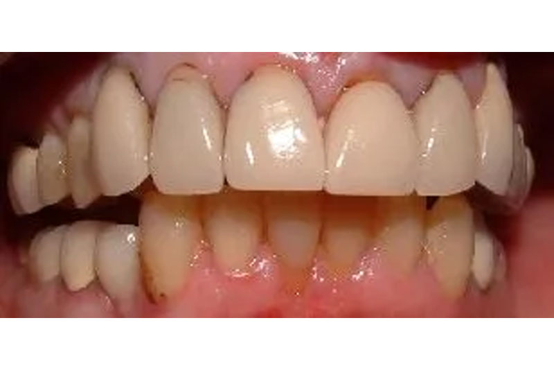
Smile Gallery
Before
After
Before
After
Before
After
Before
After
Before
After
Before
After